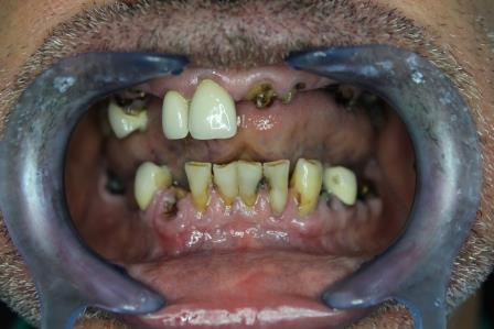
La couronne recouvre la dent abîmée, fracturée ou dévitalisée pour la protéger et lui redonner sa forme et sa solidité.
Elle est réalisée sur mesure à partir de matériaux modernes :
-
Céramique ou zircone : pour un rendu parfaitement naturel, identique à la dent voisine.
-
Métal-céramique : pour allier résistance et esthétique.
Cette technique permet de conserver la racine naturelle, tout en assurant une excellente stabilité et une belle harmonie visuelle. Une fois posée, la couronne se comporte comme une dent normale : elle permet de manger, parler et sourire sans gêne.







