Envoi du formulaire en cours. Veuillez ne pas fermer cette page.
noémie
Noémie

Votre conseillère est à votre écoute pour vous accompagner dans votre projet de soins dentaires.

Besoin d’un devis gratuit ?

Notre équipe d’experts vous apporte conseils et informations fiables sur les soins dentaires.

    Veuillez taper votre nom.
    Veuillez taper votre prénom.
    Veuillez taper une adresse email valide.
    Veuillez taper un numéro de téléphone valide.
    Veuillez renseigner votre message.
    Veuillez accepter cette condition.
    Veuillez accepter cette condition.

    Connexion SSL certifiée : en cliquant sur "Envoyer" vous acceptez de recevoir des informations par e-mail de la part de Smile Partner.

    *Champs obligatoires

    Qu’est-ce qu’une prothèse
    clipsée sur implant ?

    La prothèse dentaire clipsée, ou prothèse dentaire stabilisée, est fréquemment utilisée en cas d'édentement complet sur la mandibule. Il s'agit d'une prothèse semi-fixe qui peut être stabilisée sur 2 ou 4 implants dentaires à l'aide de « boutons pression » ou d’une « barre dolder ». Elle permet de remplacer l'ensemble de l'arcade dentaire de manière esthétique, confortable et stable.

    Appareil dentaire clipsable avec boutons pression

    prothèse dentaire stabilisée boutons presson

    La prothèse clipsée avec boutons pression est une prothèse dentaire complète en résine, très proche du dentier classique, que l'on vient stabiliser sur des implants dentaires à l'aide de boutons pression.

    Economique et simple à entretenir, la prothèse stabilisée sur boutons pression offre une meilleure stabilité et un meilleur confort de mastication que le dentier classique.

    Elle possède tout de même des inconvénients et notamment la nécessité de changer les boutons environ tous les deux ans car ils s’usent à force de clipser et de déclipser la prothèse.

    Appareil dentaire clipsable avec barre dolder

    prothèse dentaire clipsée barres dolder

    La prothèse dentaire clipsée sur barre dolder, elle, est fixée aux implants grâce à une barre métallique et à des cavaliers souples qui assurent la rétention par effet de clipsage.

    Elle offre une stabilité maximale sur le long terme et un excellent confort en bouche.

    Il faut néanmoins savoir que son entretien est un peu plus délicat car il est nécessaire de bien nettoyer en dessous et tout autour de la barre à l’aide de brossettes dentaires afin de déloger les restes de nourriture et d’éviter l’accumulation de plaque dentaire.

    Prix d’un appareil dentaire
    clipsé sur implant

    Le prix d'une prothèse dentaire avec bouton pression varie selon les pays. En cas d’édentement complet d’une mâchoire nécessitant la pose d’une prothèse , la plupart des patients réalisent une économie de 40% à 60% sur le prix d'une prothèse dentaire clipsée en choisissant de réaliser leurs soins à l’étranger.

    Quel est le prix d'une prothèse dentaire clipsée en Espagne ?

    La pose d’une prothèse dentaire en Espagne, stabilisée sur 4 implants, est proposée à partir de 5 580€ au sein de nos cliniques partenaires.

    Ce tarif inclut le bilan pré-implantaire, la pose des implants, ainsi que la fabrication et la pose de la prothèse mais aussi l’accompagnement complet de Smile Partner : mise en relation avec la clinique et envoi des devis, organisation du séjour, suivi personnalisé, aide à la constitution de votre dossier de demande de remboursement.

    Quel est le prix d'une prothèse dentaire clipsée en Hongrie ?

    Pour la pose d'une prothèse dentaire en Hongrie, cette même solution vous sera proposée à partir de 5 030€ (implants compris) dans nos cliniques partenaires.

    Ce tarif est indicatif et dépend évidemment de la marque des implants choisis ainsi que de la technique choisie (prothèses stabilisée par boutons pression ou sur barre Dolder). Si vous souhaitez connaître avec précision ce que vous coûterait une prothèse dentaire stabilisée en Hongrie, n’hésitez pas à demander votre devis gratuit.

    Tarifs des prothèses dentaires : à l'étranger vs Belgique

    Découvrez ci-dessous les prix pratiqués au sein de nos cliniques partenaires en Hongrie et en Espagne, comparés aux prix moyens constatés en Belgique pour les mêmes solutions dentaires :

    Prix en Hongrie
    avec Smile Partner
    Prix en Espagne
    avec Smile Partner
    Prix moyen constaté
    en Belgique
    🔍
    Prothèse stabilisée sur 4 implants avec boutons pression solution non proposée 5 080 € 9 000 €
    Prothèse stabilisée sur 4 implants avec barre dolder 5 030 € 6 260 € 10 000 €

    À noter : Cette simulation de prix doit être confirmée par l’établissement d’un devis dentaire fiable et précis de la part de nos médecins-dentistes partenaires. Si vous souhaitez connaître le prix exact de votre prothèse dentaire en Hongrie ou en Espagne, nous vous recommandons de réaliser une demande de devis personnalisé.

    Prothèse dentaire clipsée avec bouton pression :
    un confort en bouche retrouvé

    Dans quels cas vous pouvez avoir besoin d’une prothèse stabilisée ?

    La prothèse stabilisée sur implant est destinée à remplacer l’ensemble des dents d’une arcade dentaire. Elle est donc particulièrement recommandée en cas d’édentement partiel ou complet, notamment sur le maxillaire inférieur, et permet de prévenir les troubles au niveau de l’articulation de la mâchoire.

    Ces prothèses dentaires clipsées sont également une solution alternative très appréciée par les porteurs de dentiers classiques car elles offrent une plus grande stabilité et un plus grand confort de mastication.

    Quels sont les avantages et inconvénients d'une prothèse dentaire clipsée ?

    Très demandée par les patients édentés, la prothèse clipsable présente de nombreux avantages, en particulier si on compare cette solution à une prothèse amovible classique (dentier). Cependant, elle présente aussi un certain nombre d'inconvénients.

    ✓ Avantages ✗ Inconvénients
    Grande stabilité et vrai confort de mastication Nécessaire de la retirer tous les soirs pour la nettoyer
    Freine la résorption osseuse due à l’absence d’une ou plusieurs dents Boutons pression doivent être changés environ tous les deux ans
    Ne nécessite pas de colle Comporte un petit faux-palais et une petite fausse gencive
    Facile à nettoyer Prothèse en résine avec une durée de vie d'environ 10 ans
    Permet de manger de tout
    Tarifs accessibles avec Smile Partner

    Quel est le remboursement
    d’une prothèse stabilisée ?

    Les prothèses dentaires fixes ne sont pas remboursées par l'INAMI (Institut national d'assurance maladie-invalidité), et ce, que les soins soient réalisés en Belgique ou à l’étranger. Toutefois, certains mutuelles proposent des forfaits spécifiques prenant en charge les implants dentaires et autres soins non remboursés par l’Assurance maladie.

    Pour obtenir un remboursement complémentaire de la part de votre mutuelle, nous vous conseillons de vous mettre en contact avec votre assureur avant de vous rendre à l’étranger pour réaliser vos soins.

    remboursement prothèse dentaire

    Vous souhaitez un devis pour une prothèse stabilisée ?

    Un conseiller Smile Partner vous recontacte dans les 48h pour répondre à vos questions.

    Comment se déroule la pose
    d'une prothèse clipsable ?

    Pose de la prothèse en Espagne et en Hongrie

    Dans nos cliniques dentaires partenaires, la pose d’une prothèse stabilisée se déroule en 3 étapes :

    01
    Bilan pré-implantaire

    Une première consultation avec l’un de nos médecins-dentistes partenaires est nécessaire afin de réaliser un bilan dentaire complet comprenant un examen radiographique, et de vous fournir un devis gratuit. Le nombre d’implants dentaires sera alors déterminé, ainsi que l’ensemble de votre plan de traitement.

    02
    Pose des implants dentaires

    Dans un second temps, le médecin-dentiste pourra procéder à la pose d’implants dentaires en Hongrie ou en Espagne (4 ou 6) dans un bloc opératoire stérile et le plus souvent sous anesthésie locale.

    03
    Mise en place de la prothèse

    Après une période de cicatrisation de 3 mois, la prothèse dentaire en résine sera connectée aux implants à l’aide de boutons pression ou barre dolder, qui eux-mêmes sont fixés sur les implants. La prothèse dentaire se clipse et se déclipse sur les implants dentaires qui servent alors de support à votre prothèse. Une fois clipsée, elle est donc stable et vous ne risquez pas de la perdre. Vous pouvez ainsi parler, manger et sourire en toute sérénité. Pour nettoyer votre prothèse dentaire, il suffit alors de l’ôter comme c’est le cas avec un appareil dentaire amovible.

    Suite après la pose de la prothèse

    A la suite de la pose de votre prothèse stabilisée, votre médecin-dentiste vous prescrira des antalgiques pour éviter toute douleur, et vous donnera des indications en matière d’hygiène dentaire et d’alimentation afin de minimiser les risques de complication et de favoriser votre adaptation à la prothèse.

    Durant les premiers jours, il se peut néanmoins que vous ressentiez des sensations désagréables et notamment une irritation au niveau des gencives, ou que vous éprouviez un certain inconfort lors de la mastication. Ces symptômes sont normaux et devrez rapidement disparaître si vous suivez bien les recommandations de votre dentiste.

    dentiste avec patient

    Résultats d'une prothèse dentaire clipsée :
    photos avant / après

    Grâce à la pose de prothèses clipsées vous retrouvez un sourire parfaitement naturel et harmonieux : la preuve en images.

    Xavier, 56 ans

    Photos sans écarteurs

    Suite à l’examen d’une radiographie et d’un scanner 3D afin de pouvoir traiter le cas de notre patient, les médecins-dentistes de la clinique EL CEDRO Tenerife lui ont recommandé le plan de traitement suivant :

    Maxillaire supérieur : pose d’une prothèse complète complète en résine de 12 dents stabilisée sur 4 implants

    Maxillaire inférieur : pose d’une prothèse complète complète en résine de 12 dents stabilisée sur 4 implants

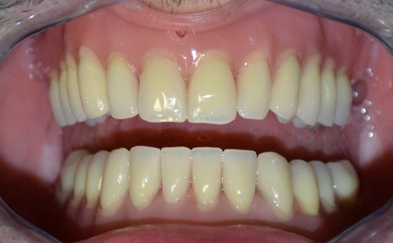
    Après
    sourire xavier après
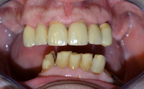
    Avant
    sourire xavier avant

    Xavier, 56 ans

    Photos avec écarteurs

    Suite à l’examen d’une radiographie et d’un scanner 3D afin de pouvoir traiter le cas de notre patient, les médecins-dentistes de la clinique EL CEDRO Tenerife lui ont recommandé le plan de traitement suivant :

    Maxillaire supérieur : pose d’une prothèse complète complète en résine de 12 dents stabilisée sur 4 implants

    Maxillaire inférieur : pose d’une prothèse complète complète en résine de 12 dents stabilisée sur 4 implants

    Après
    sourire xavier après
    Avant
    sourire xavier avant

    Vous souhaitez un devis pour une prothèse stabilisée ?

    Un conseiller Smile Partner vous recontacte dans les 48h pour répondre à vos questions.

    Appareil dentaire clipsable :
    les questions les plus posées

    Comment clipser un appareil dentaire ?

    L’appareil est clipsé sur des boutons de pression ou des barres dolder qui sont eux-mêmes fixés sur 4 implants dentaires. Une fois la pose de la prothèse terminée, une simple pression à l’aide des doigts permet de l’enlever et de le remettre en toute facilité.

    Combien de temps faut-il pour fabriquer un appareil dentaire qui se clipse ?

    Il faut compter en règle générale 5 jours pour fabriquer une prothèse dentaire pour un maxillaire et environ 10 jours pour deux maxillaires. Ce délai inclus le temps de conception, adaptation, correction par le prothésiste, ainsi que la pose définitive de la prothèse par le médecin-dentiste.

    Quelle alimentation adopter lorsque l'on a une prothèse dentaire clipsable ?

    Offrant une grande stabilité, la prothèse dentaire stabilisée permet de manger de tout, sans restriction. Attention toutefois, il sera nécessaire d’adopter une alimentation molle pendant la période de cicatrisation pour favoriser la guérison et éviter une pression excessive sur les implants.

    Quelle est la durée de vie des appareils dentaires clipsés ?

    Bien entretenus, des implants dentaires soutenant une prothèse clipsable peuvent être conservés en bouche toute une vie. La prothèse, en revanche, devra être remplacée tous les 5 à 10 ans.

    Pour maximiser la durée de vie de votre appareil, nos médecins-dentistes partenaires vous recommandent d’adopter une hygiène dentaire irréprochable et de prévoir des contrôles réguliers chez votre dentiste.

    Ma prothèse stabilisée s’est descellée, que faire ?

    Les prothèses dentaires stabilisées sont des prothèses semi-fixes, elles peuvent donc s’enlever et se remettre, notamment pour les nettoyer.

    En revanche, si vous constatez que votre prothèse ne se clipse plus très bien sur les boutons pression ou que vous la sentez bouger, n’attendez pas pour prendre rendez-vous avec votre médecin-dentiste. En fonction de la situation, un réajustement sera suffisant, mais il pourra également être nécessaire de la remplacer.

    Existe-t-il d'autres solutions de reconstruction ?

    La prothèse dentaire stabilisée est l'une des solutions de reconstruction complète. Néanmoins, il existe 2 autres types de prothèses dentaires permettant de remplacer toutes vos dents : la prothèse dentaire transvissée et le bridge dentaire complet.

    En fonction de vos besoins et de vos attentes, le médecin-dentiste vous préconisera la solution de réhabilitation la plus adaptée à votre cas. Suite à son diagnostic, vous pourrez ainsi prendre une décision éclairée.