Envoi du formulaire en cours. Veuillez ne pas fermer cette page.
noémie
Noémie

Votre conseillère est à votre écoute pour vous accompagner dans votre projet de soins dentaires.

Besoin d’un devis gratuit ?

Notre équipe d’experts vous apporte conseils et informations fiables sur les soins dentaires.

    Veuillez taper votre nom.
    Veuillez taper votre prénom.
    Veuillez taper une adresse email valide.
    Veuillez taper un numéro de téléphone valide.
    Veuillez renseigner votre message.
    Veuillez accepter cette condition.
    Veuillez accepter cette condition.

    Connexion SSL certifiée : en cliquant sur "Envoyer" vous acceptez de recevoir des informations par e-mail de la part de Smile Partner.

    *Champs obligatoires
    Le 12 February 2026

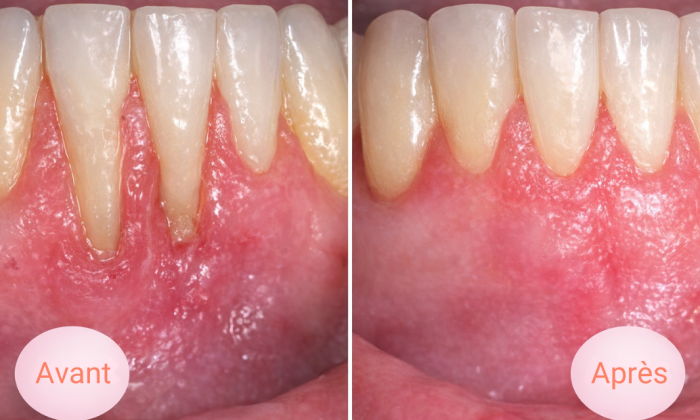
    Déchaussement dentaire : Quels sont les solutions et traitement ?

    Le déchaussement des dents, aussi appelé récession gingivale, peut être stabilisé s’il est pris en charge dès les premiers signes. En cas de perte osseuse ou de dent qui bouge, des traitements plus avancés comme le curetage, la greffe de gencive ou la régénération tissulaire peuvent être nécessaires.
    Le 20 January 2026

    Extraction dentaire : faut-il vraiment arracher une dent ?

    Une extraction (ou avulsion dentaire) peut impressionner, surtout si plusieurs dents sont concernées. Heureusement, dans de nombreux...
    Le 23 December 2025

    Meilleur pays pour les implants dentaires

    Se refaire les dents à l’étranger : excellente opportunité… ou risque à éviter ? Derrière les économies...
    Le 16 December 2025

    Mutuelle dentaire

    Entre reste à charge élevé, devis incompréhensibles et promesses de remboursements “à 100 %”, il est souvent...
    Le 30 October 2025

    Normes d’hygiène clinique dentaire

    Les soins dentaires à l’étranger séduisent chaque année des milliers de Francophones. Mais une question essentielle se...
    Le 29 October 2025

    Remboursement de la parodontite

    Vous saignez des gencives ou vos dents se déchaussent ? La parodontite est une maladie silencieuse mais...
    Des questions sur les
    soins dentaires
    Contacter nos experts
    Le 1 October 2025

    Couronne dentaire implanto-portée

    Perdre une dent n’est jamais anodin. Au-delà de la gêne esthétique, c’est parfois la confiance en soi...
    Le 3 September 2025

    Solutions face aux déserts médicaux

    Trouver un dentiste en France est devenu un véritable parcours du combattant. Délais d’attente interminables, coûts parfois...
    Le 8 August 2025

    Peur et phobie du dentiste

    Près d’un patient sur deux avoue ressentir une forme d’anxiété à l’idée d’un rendez-vous dentaire. Mais pourquoi...
    Le 28 July 2025

    Parodontite stade terminal

    Saignement des gencives, mauvaise haleine, dents qui se déchaussent… Ces symptômes sont souvent les premiers signes d’une...
    Le 23 July 2025

    Ostéointégration et implants dentaires

    Vous envisagez la pose d’un implant dentaire ou vous venez tout juste de franchir le cap ?...
    Le 27 March 2025

    Les 5 erreurs à éviter lors du choix d’une clinique dentaire en Hongrie​

    La Hongrie s’est imposée comme l’une des destinations majeures du tourisme dentaire. Chaque année, des milliers de...
    Le 24 January 2025

    Combien d’implants dentaires peut-on poser en une seule fois ?

    L’opération de pose d’implants dentaires n’est pas une partie de plaisir. C’est pourquoi, pour réduire le nombre...
    Le 23 January 2025

    L’évolution de la parodontite : Comprendre les différents stades de la maladie

    Classée parmi les maladies bucco-dentaires les plus fréquentes, la parodontite évolue selon un schéma bien précis. Mais...
    Le 24 December 2024

    Pose d’une prothèse dentaire : quelles sont les étapes ?

    La pose d’une prothèse dentaire fixe combine précision et technologie avancée pour offrir une solution permanente et...
    Le 24 December 2024

    Prothèse dentaire fixe ou amovible : Quelle est la meilleure option ?

    Les prothèses dentaires permettent de restaurer la fonction et l’esthétique des dents manquantes. En redonnant un sourire...
    Le 22 November 2024

    Soigner une gingivite : Les traitements

    Vous cherchez le meilleur traitement pour soigner votre gingivite ? Découvrez les différentes solutions possibles, abordables et...
    Le 25 November 2025

    Comparer des devis dentaires

    Vous avez reçu un devis dentaire en France ou à l’étranger… et vous hésitez. Les prix vous semblent...
    Le 30 October 2024

    Prévenir la gingivite : 7 astuces pour garder des gencives saines

    Les gencives jouent un rôle essentiel dans notre santé bucco-dentaire, mais elles sont souvent négligées. Avec quelques gestes...
    Le 29 October 2024

    Gingivite : causes, risques et astuces pour éviter les problèmes de gencive

    La gingivite, caractérisée par une inflammation des gencives, est l’une des maladies bucco-dentaires les plus répandues, souvent...
    Le 28 October 2024

    Parodontite et remplacement des dents : L’implant dentaire comme solution durable

    La parodontite est une infection qui, si elle n’est pas traitée, mène souvent à la perte de...
    Le 28 October 2024

    Classification des maladies parodontales : Les différences

    Parodontite chronique, agressive et nécrosante : découvrez les différences. La parodontite, également connue sous le nom de...
    Le 24 October 2024

    Prévenir la parodontite : astuces et conseils

    Prévenir la parodontite est essentiel pour conserver des gencives saines et éviter des complications bucco-dentaires graves. Cette...
    Le 24 October 2024

    Les symptômes de la parodontite : Signes, causes et traitement

    La parodontite, souvent appelée maladie des gencives, est une infection qui peut sérieusement affecter la santé bucco-dentaire....
    Le 10 October 2024

    L’importance de l’évaluation médicale avant des soins dentaires

    L’évaluation des antécédents médicaux avant une intervention dentaire chirurgicale est une étape cruciale pour garantir à la...
    Le 20 September 2024

    Implant dentaire vs dent sur pivot : Quelle différence ?

    Lorsqu’une dent est abîmée ou manquante, choisir la bonne solution de remplacement est essentiel pour préserver votre...
    Le 19 June 2024

    Comment faire pour se débarrasser de la mauvaise haleine

    La mauvaise haleine, ou halitose, est un problème courant qui peut sérieusement affecter la confiance en soi...
    Le 30 May 2024

    Impact du vieillissement sur les dents

    L’impact du vieillissement sur les dents, le vieillissement a un impact significatif sur la santé dentaire, mais...
    Le 28 May 2024

    Brosse à dents électrique ou manuelle

    Choisir entre brosse à dents électrique ou manuelle peut sembler anodin, mais ce choix peut avoir un...
    Le 24 May 2024

    Carie dentaire : Causes et solutions efficaces

    La carie dentaire est l’un des problèmes bucco-dentaires les plus courants, touchant des millions de personnes à...