Envoi du formulaire en cours. Veuillez ne pas fermer cette page.
noémie
Noémie

Votre conseillère est à votre écoute pour vous accompagner dans votre projet de soins dentaires.

Besoin d’un devis gratuit ?

Notre équipe d’experts vous apporte conseils et informations fiables sur les soins dentaires.

    Veuillez taper votre nom.
    Veuillez taper votre prénom.
    Veuillez taper une adresse email valide.
    Veuillez taper un numéro de téléphone valide.
    Veuillez renseigner votre message.
    Veuillez accepter cette condition.
    Veuillez accepter cette condition.

    Connexion SSL certifiée : en cliquant sur "Envoyer" vous acceptez de recevoir des informations par e-mail de la part de Smile Partner.

    *Champs obligatoires

    Ce qu'il faut retenir

    • Un déchaussement dentaire peut être stoppé s’il est pris en charge tôt.

    • Au stade précoce, un détartrage ou un surfaçage radiculaire suffit souvent à stabiliser la situation.

    • Plus l’intervention est tardive, plus le traitement est complexe et coûteux.

    • La plupart des soins parodontaux spécialisés sont peu ou pas remboursés en Belgique.

    • Des solutions à l’étranger permettent de réaliser jusqu’à 60 % d’économie, en bénéficiant des remboursements belges.

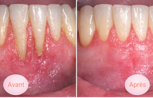
    Peut-on vraiment soigner un déchaussement des dents ?

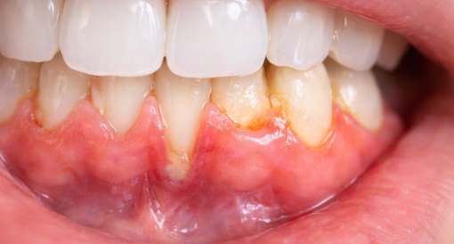
    Le déchaussement des dents, aussi appelé récession gingivale, peut être stoppé et stabilisé, mais il n’est pas toujours totalement réversible. Tout dépend du stade d’évolution de la maladie parodontale et de la rapidité de la prise en charge.

    Déchaussement précoce

    Lorsqu’il est détecté tôt, le déchaussement peut être arrêté sans chirurgie lourde. À ce stade, l’inflammation des gencives est encore limitée.

    Un traitement adapté permet généralement de :

    • éliminer la plaque dentaire et le tartre (détartrage)

    • nettoyer en profondeur les racines (surfaçage)

    • réduire les poches parodontales

    • stopper la progression de la perte osseuse

    Déchaussement avancé

    Lorsque la gencive s’est fortement rétractée ou que la dent commence à bouger, l’os de soutien est atteint. À ce stade, peuvent être nécessaires :

    • curetage profond des poches parodontales

    • greffe de gencive pour recouvrir la racine exposée

    • régénération tissulaire guidée

    • comblement osseux en cas de perte importante

    • extraction + implant si la dent n’est pas récupérable

    Vous avez des questions et vous souhaitez des réponses dès maintenant ?

    Contactez nos conseillers en France, au 02 41 48 44 09, ils vous répondent du lundi au vendredi de 09h à 18h.

    Charles au téléphone avec un patient

    Les traitements en cas de déchaussement précoce (stade léger à modéré)

    Le détartrage professionnel

    Le détartrage est le premier traitement recommandé en cas de déchaussement léger.

    Il est indiqué lorsque l’inflammation des gencives est encore superficielle et que l’os de soutien n’est pas ou peu atteint.

    Quand le détartrage est-il suffisant ?

    Le détartrage est particulièrement efficace en cas de :

    • gingivite débutante,

    • inflammation légère des gencives,

    • saignements au brossage,

    • accumulation visible de tartre.

    En quoi consiste le détartrage ?

    Le détartrage consiste à éliminer la plaque dentaire et le tartre accumulés, réduire l’inflammation gingivale, limiter la prolifération bactérienne, et prévenir l’aggravation vers une maladie parodontale.

    En supprimant les dépôts responsables de l’inflammation, les gencives peuvent retrouver un aspect plus sain et se réadapter autour de la dent.

    Combien coûte un détartrage ?

    Le prix d’un détartrage varie généralement entre 30 € et 60 € selon le cabinet dentaire et la localisation géographique.

    Dans le cadre d’un soin conventionné, le détartrage est partiellement remboursé. Une partie du reste à charge peut être prise en charge par votre mutuelle.

    Le surfaçage radiculaire (détartrage profond)

    Le surfaçage radiculaire, aussi appelé détartrage sous-gingival, est recommandé lorsque le déchaussement des dents est déjà associé à une parodontite débutante à modérée. Contrairement au détartrage classique, ce traitement vise un nettoyage en profondeur sous la gencive, directement au niveau des racines dentaires. Il permet de :

    • éliminer le tartre et les bactéries situés sous le rebord gingival,

    • assainir les poches parodontales,

    • lisser les surfaces radiculaires pour favoriser la réadhésion de la gencive,

    • stopper la progression de la perte osseuse.

    → Le surfaçage radiculaire est généralement réalisé sous anesthésie locale afin d’assurer un confort optimal.
    Selon l’étendue de l’infection, le traitement coûte entre 250€ et 600€, et peut nécessiter plusieurs séances, souvent organisées par quadrant (une zone de la bouche à la fois). Soit un total de minimum 1 000 € (250€ x 4 quadrant).

    Le curetage des poches parodontales

    Lorsque les poches parodontales sont plus profondes et que l’infection est installée, un curetage parodontal peut être nécessaire. Ce traitement consiste à :

      1 Éliminer les bactéries en profondeur 3 Réduire la profondeur des poches parodontales
      2 Retirer les tissus infectés à l’intérieur des poches 4 Favoriser la cicatrisation des tissus gingivaux

     

    • Le curetage permet de stabiliser la dent en limitant l’inflammation chronique responsable de la destruction progressive de l’os alvéolaire.

    Il est généralement réalisé sous anesthésie locale et peut être associé à un surfaçage radiculaire pour un résultat optimal. Plus les poches sont profondes, plus l’intervention est technique et nécessite un suivi régulier.

    Prix indicatif : entre 200 € et 1 500 € selon l’étendue du traitement.

    L'antibiothérapie

    L’antibiothérapie n’est jamais un traitement isolé du déchaussement dentaire. Elle intervient en complément des soins mécaniques (détartrage, surfaçage..). Elle est indiquée lorsque l’infection bactérienne est active ou particulièrement agressive.

    L’objectif est de réduire la charge bactérienne, contrôler l’inflammation, et optimiser la cicatrisation après les soins.

    Un traitement d'antibiothérapie coûte entre 10 € et 40 € selon les soins.

    Agir tôt pour éviter des traitements plus lourds

    Un déchaussement détecté à temps peut souvent être stabilisé avec des soins simples. Notre équipe vous accompagne pour établir un diagnostic précis.

    Les traitements du déchaussement avancé

    La greffe de gencive

    illustration d'une greffe de gencive

    La greffe de gencive est indiquée lorsque la racine de la dent est largement exposée ou que la gencive est devenue trop fine pour assurer une protection suffisante.

    01
    Explication
    En quoi ça consiste ?

    C'est le prélèvement d'un petit fragment de tissu gingival, afin de le repositionner sur la zone concernée. Le greffon est fixé pour recouvrir la racine exposée et épaissir la gencive.

    02
    Avantages
    Quels sont les bénéfices ?
    • Recouvrir la racine exposée

    • Réduire la sensibilité au chaud / froid

    • Améliorer l’esthétique du sourire

    • Renforcer la protection naturelle de la dent

    • Stabiliser durablement le déchaussement

    03
    Tarif
    Combien ça coûte ?

    Entre 500 € et 1 200 € par zone traitée, selon la complexité de l’intervention et l’étendue.

    Le comblement osseux

    illustration d'un comblement osseux

    Lorsque le déchaussement des dents s’accompagne d’une perte osseuse importante, un comblement osseux peut être nécessaire pour renforcer la structure de soutien.

    01
    Explication
    En quoi ça consiste ?

    L’intervention consiste à insérer un matériau de greffe dans la zone déficitaire afin de stimuler la régénération osseuse. Ce matériau peut être d’origine naturelle ou synthétique (substituts).

    02
    Avantages
    Quels sont les bénéfices ?
    • Renforcer la structure osseuse
    • Améliorer la stabilité mécanique

    • Ralentir ou stopper la perte osseuse

    • Préserver la dent naturelle

    • Préparer pour un implant (si besoin)

    03
    Tarif
    Combien ça coûte ?

    Entre 500 € et 1 500 € selon la quantité d’os à reconstruire et la complexité du cas.

    Les traitements plus rares ou complémentaires

    Dans certains cas spécifiques, lorsque les traitements classiques ne suffisent pas ou que la situation clinique le permet, des techniques plus spécialisées peuvent être proposées.

    • La régénération tissulaire guidée
    • La désinfection au laser

    La régénération tissulaire guidée est envisagée lorsque la perte osseuse présente une configuration favorable à la reconstruction.

    Elle consiste à stimuler la régénération des tissus de soutien autour de la dent à l’aide :

    • d’une membrane de collagène placée entre la gencive et l’os,

    • parfois d’un gel biologique favorisant la régénération cellulaire (comme certaines protéines dérivées de l’émail).

    → L’objectif est de permettre une reconstitution partielle de l’os alvéolaire, du ligament parodontal, et des tissus de soutien.

    Cette technique coûte en moyenne 2 000 €.

    La désinfection au laser est une technique moderne utilisée en complément des soins parodontaux classiques. Elle permet de :

    • nettoyer certaines poches parodontales profondes,

    • réduire la charge bactérienne,

    • limiter l’inflammation,

    • favoriser la cicatrisation.

    → Elle ne remplace pas le détartrage ni le surfaçage radiculaire, mais peut être utilisée en complément dans certains cabinets équipés.

    Ce traitement est généralement au prix de 1 600 €.

    Extraction et implant dentaire
    (cas extrême)

    Lorsque la dent est trop mobile ou que la perte osseuse est trop avancée, il peut ne plus être possible de la sauver. Dans ce cas, l’extraction devient nécessaire afin d’éviter une infection plus grave.

    La dent peut alors être remplacée par :
    un implant dentaire
    un bridge dentaire

    L’implant permet de remplacer durablement la dent perdue et de préserver la structure osseuse.

    Prix par dent : 2 000 € pour l'implant et 50 € pour l'extraction (hors éventuel comblement osseux préalable)

    Vous avez des questions et vous souhaitez des réponses dès maintenant ?

    Contactez nos conseillers en France, au 02 41 48 44 09, ils vous répondent du lundi au vendredi de 09h à 18h.

    Charles au téléphone avec un patient

    Combien coûtent les traitements
    contre le déchaussement des dents ?

    En Belgique, les traitements parodontaux spécialisés sont souvent peu ou pas pris en charge, ce qui peut représenter un coût important pour les patients.

    Nos cliniques partenaires en Hongrie et en Espagne proposent des tarifs significativement plus accessibles. Grâce à Smile Partner, vous pouvez bénéficier d’une économie allant jusqu’à 60 %, tout en conservant un haut niveau d’expertise médicale.

    ✔ Les soins réalisés au sein de l’Union européenne sont éligibles au remboursement sur la base des tarifs belges.

    Traitement TARIFS EXCLUSIFS SMILE PARTNER Prix moyen constaté en Belgique
    Prix en Hongrie Prix en Espagne
    Détartrage professionnel 70 € 70 € 43,38 €
    Surfaçage radiculaire total
    (détartrage profond)
    680 € 380 € 1 000 €
    Curetage des poches parodontales 140 € 380 € 600 €
    Greffe de gencive 450 € 300 € 750 €
    Comblement osseux 450 € 450 € 950 €
    Régénération tissulaire - 1 550 € 2 000 €
    Extraction et implant dentaire
    1 100 € 1 390 € 2 050 €

    Le témoignage d’Alain
    à El Cedro Barcelone

    Comme j'avais un déchaussement assez important de toutes mes dents, je n'arrivais plus à manger... À la clinique El Cedro les gens sont très accueillants et très très humains. Le suivi a été super également. Mon premier plaisir c'était de manger un sandwich jambon beurre !

    Découvrez nos
    4 cliniques partenaires

    Grâce à notre sélection de cliniques partenaires nous rendons accessibles des soins dentaires de qualité tout en garantissant une communication fluide.

    En savoir plus sur cette clinique
    clinique dentaire el cedro tenerife

    Clinique EL CEDRO

    Tenerife
    Espagne
    En savoir plus sur cette clinique
    Dr Leticia Rodriguez clinique EL Cedro Barcelone

    Clinique EL CEDRO

    Barcelone
    Espagne
    En savoir plus sur cette clinique
    clinique kiralydent en hongrie

    Clinique KIRALYDENT

    Budapest
    Hongrie
    En savoir plus sur cette clinique
    clinique dentaire mercz dental

    Clinique MERCZ DENTAL

    Budapest
    Hongrie

    Questions fréquentes

    Comment stopper un déchaussement dentaire ?

    Pour stopper un déchaussement dentaire, il est essentiel d’agir rapidement dès les premiers signes (saignement des gencives, dent plus longue, sensibilité, dent qui bouge).

    1) Consulter un dentiste rapidement, pour évaluer : la profondeur des poches parodontales, l’état de l’os alvéolaire, et la stabilité de la dent.

    2) Réaliser un nettoyage professionnel : détartrage (stade léger), surfaçage radiculaire (infection plus profonde), ou curetage des poches parodontales.

    3) Améliorer l’hygiène bucco-dentaire : un brossage doux mais rigoureux est indispensable (brosse à dents à poils souples, dentifrice adapté aux gencives sensibles, brossettes interdentaires quotidiennement).
    L’arrêt du tabac et une alimentation équilibrée contribuent également à stabiliser la situation.

    4) En cas de stade avancé, des traitements plus spécialisés peuvent être nécessaires : greffe de gencive, régénération tissulaire, comblement osseux, voire extraction dans les cas extrêmes.

    Quels sont les traitements naturels contre le déchaussement des dents ?

    Certaines solutions naturelles (bicarbonate de soude, Aloe Vera, thé vert, coenzyme Q10) peuvent aider à réduire l’inflammation des gencives et à soutenir la santé bucco-dentaire en complément d’un traitement professionnel.

    Mais il n’existe pas de traitement naturel capable de guérir un déchaussement des dents ou de reconstituer l’os détruit.

    Est-ce que le traitement d'un déchaussement dentaire est remboursé ?

    La prise en charge des traitements du déchaussement dentaire dépend du type de soin réalisé, de la Sécurité sociale et de votre mutuelle complémentaire.

    → Ce qui est généralement remboursé : le détartrage

    → Ce qui est peu ou pas remboursé : le surfaçage radiculaire et curetage parodontal

    → Les chirurgies spécialisées sont souvent non remboursées : greffe de gencive, régénération tissulaire ou comblement osseux

    → Les implants dentairesne sont pas remboursés par la Sécurité sociale

    Certains forfaits mutuelles peuvent prendre en charge une partie du coût, mais il reste souvent un reste à charge significatif.

    Envie d’en savoir plus ?

    Rédactrice web chez Smile Partner
    Article rédigé par : Solyne PROUST, Rédactrice web pour Smile Partner

    Solyne est rédactrice web pour l’agence Smile Partner. Dotée d’une forte appétence pour la lecture et l’écriture, elle aime apprendre quotidiennement et développer ses connaissances en matière de soins dentaires auprès de nos dentistes partenaires.

    Dr Leticia Rodriguez
    Article vérifié par : Dr Letitia RODRIGUEZ Chirurgien-dentiste à la clinique EL CEDRO Barcelone

    Chirurgien-dentiste spécialisée en implantologie, Dr Leticia Rodriguez exerce des soins dentaires au sein de la clinique El Cedro Barcelone. Ses diplômes en chirurgie et prothèses dentaires, ainsi que ses 23 années d’expériences en font une praticienne qualifiée et reconnue. Sa priorité : veiller au bien-être de ses patients au cours de chaque séance de soins.

    On ne se quitte plus

    Retrouvez-nous sur les réseaux sociaux.