Sourire Avant Après :
cas de réalisation femmes
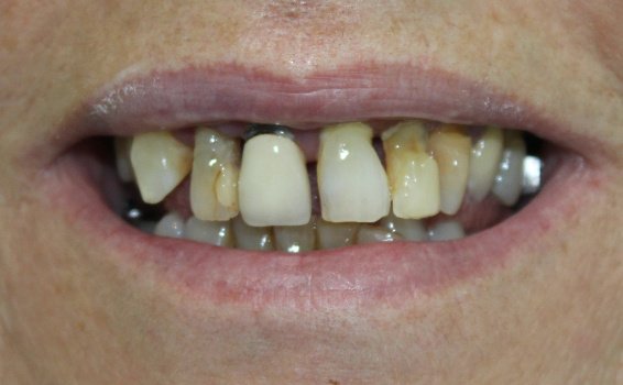
Elodie, 34 ans
Situation dentaire avant soins : dents tâchées et trous dans les dents à cause de caries à répétition
Souhait d'Élodie : retrouver un sourire harmonieux, esthétique et naturel
Soins réalisés :
- Maxillaire supérieur : bridge de 10 unités en céramique base zirconium
- Maxillaire inférieur : bridge de 3 unités en céramo-métal


Delphine, 40 ans
Situation dentaire avant soins : dents jaunies, fragiles et abîmées
Souhait de Delphine : retrouver des dents blanches et esthétiques
Soins réalisés :
- Maxillaire supérieur : bridge de 10 unités en céramique base zirconium
- Maxillaire inférieur : bridge de 10 unités en céramique base zirconium


Francine, 56 ans
Situation dentaire avant soins : dents cariées particulièrement en maxillaire inférieur au niveau des molaires
Souhait de Francine : retrouver une dentition saine et corriger l'alignement de son sourire
Soins réalisés :
- Maxillaire supérieur : bridge de 14 unités en zircone sur racines naturelles
- Maxillaire inférieur : bridge de 14 unités en zircone sur racines naturelles


Christel, 52 ans
Situation dentaire avant soins : dents fragilisées, sensibles et jaunies malgré des entretiens réguliers chez le dentiste
Souhait de Christel : retrouver une belle dentition et sourire sans complexe
Soins réalisés :
- Maxillaire supérieur : bridge de 14 unités en céramique sur base zirconium
- Maxillaire inférieur : bridge de 14 unités en céramique sur base zirconium


Brigitte, 59 ans
Situation dentaire avant soins : souffre d'un déchaussement dentaire avancé et plusieurs couronnes en métal à remplacer
Souhait de Brigitte : avoir une dentition stable, fixe et solide et retrouver un joli sourire
Soins réalisés :
- Maxillaire supérieur : extractions + greffe osseuse + 2 implants + bridge de 14 unités en zircone
- Maxillaire inférieur : extractions + 1 implant + 3 couronnes + un bridge de 6 unités en zircone


Nina, 30 ans
Situation dentaire avant soins : dents tordues, tâchées et jaunies
Souhait de Nina : avoir des dents parfaitement aligné et un sourire naturel
Soins réalisés :
- Maxillaire supérieur : sinus lift + 2 implants + 14 couronnes en zircone
- Maxillaire inférieur : 14 couronnes en zircone


Nadine, 56 ans
Situation dentaire avant soins : dents abîmées, qui se déchaussent, pré-molaires et molaires absentes
Souhait de Nadine : retrouver une dentition esthétique et un confort masticatoire
Soins réalisés :
- Maxillaire supérieur : extractions + sinus lift + 8 implants + bridge complet en zircone
- Maxillaire inférieur : extractions + greffe osseuse + 7 implants + bridge complet en zircone


Obtenez un devis fiable et gratuit
Un conseiller Smile Partner vous recontacte dans les 48h pour répondre à vos questions.
Sourire Avant Après :
cas de réalisation hommes
Hervé, 47 ans
Situation dentaire avant soins : dents cassées, tâchées, qui se chevauchent
Souhait d'Hervé : assainir sa dentition et arborer un sourire naturel
Soins réalisés :
- Maxillaire supérieur : soins conservateurs + bridge de 12 unités en céramo-métal
- Maxillaire inférieur : 3 implants dentaires + 3 couronnes en céramo-métal


Vincenzo, 58 ans
Situation dentaire avant soins : dents limées à cause du bruxisme et quelques dents manquantes
Souhait de Vincenzo : retrouver un sourire esthétique
Soins réalisés :
- Maxillaire supérieur : bridge de 12 unités en céramo-métal sur 6 implants
- Maxillaire inférieur : bridge de 14 unités en céramo-métal sur racines naturelles


Bernard, 63 ans
Situation dentaire avant soins : parodontite avancée qui a entrainé le déchaussement et la perte de plusieurs dents sur les maxillaires supérieur et inférieur
Souhait de Bernard : retrouver le rôle fonctionnel de ses dents pour manger normalement et la liberté de sourire
Soins réalisés :
- Maxillaire supérieur : prothèse transvissée en résine de 12 dents sur 6 implants
- Maxillaire inférieur : prothèse transvissée en résine de 12 dents sur 6 implants


Michaël, 42 ans
Situation dentaire avant soins : problèmes dentaires importants sur la mâchoire supérieure, des prothèses à changer sur la mâchoire inférieurs
Souhait de Michaël : avoir une dentition fixe sur implants et un sourire harmonieux
Soins réalisés :
- Maxillaire supérieur : 4 implants + bridge de 12 unités en céramo-métal
- Maxillaire inférieur : 3 implants + bridge de 12 unités en céramo-métal


Abdelamid, 43 ans
Situation dentaire avant soins : dents absentes depuis de nombreuses années, fragilisées et jaunies
Souhait d'Abdelhamid : retrouver une dentition saine et du confort masticatoire
Soins réalisés :
- Maxillaire supérieur : extractions + 5 implants + bridge de 12 unités en céramo-métal
- Maxillaire inférieur : extractions + 6 implants + bridge de 12 unités en céramo-métal


Gilles, 60 ans
Situation dentaire avant soins : déchaussement généralisé de la dentition entrainant la mobilité et la perte de plusieurs dents
Souhait de Gilles : retrouver du confort en bouche et une dentition solide
Soins réalisés :
- Maxillaire supérieur : bridge de 12 unités en céramo-métal sur 6 implants
- Maxillaire inférieur : bridge de 12 unités en céramo-métal sur 6 implants


Sébastien, 54 ans
Situation dentaire avant soins : bridge hors d'usage qui se décèle, gencives inflammées, dents qui se déchaussent
Souhait de Sébastien : avoir une dentition uniforme, durable et saine
Soins réalisés :
- Maxillaire supérieur : extractions + greffe osseuse + 5 implants + bridge de 12 unités en céramo-métal
- Maxillaire inférieur : extractions + greffe osseuse + 7 implants + bridge de 12 unités en céramo-métal


Pascal, 59 ans
Situation dentaire avant soins : problèmes dentaires héréditaires provoquant le déchaussement jusqu'à la perte de dents
Souhait de Pascal : avoir des dents solides et retrouver le plaisir de manger normalement
Soins réalisés :
- Maxillaire supérieur : extractions + sinus lift + 9 implants + bridge de 12 unité en zircone
- Maxillaire inférieur : extraction + greffe osseuse + 6 implants + bridge de 12 unités en zircone


Obtenez un devis fiable et gratuit
Un conseiller Smile Partner vous recontacte dans les 48h pour répondre à vos questions.