Le guide de la prévention dentaire by Smile Partner
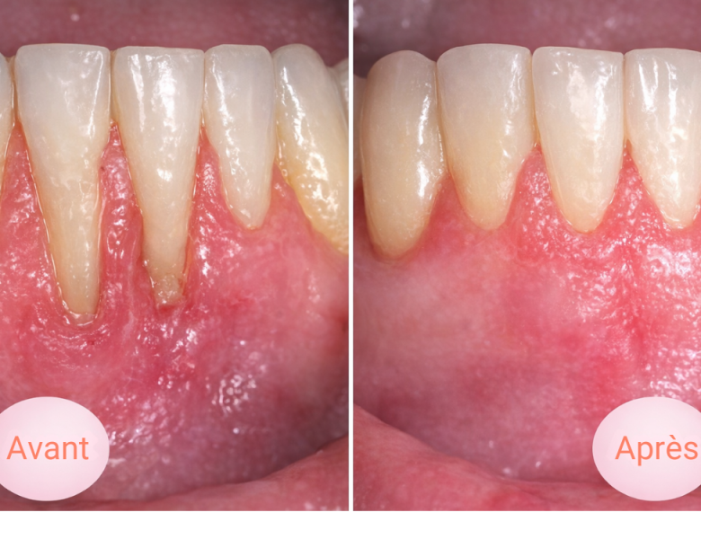
Vous cherchez des informations fiables sur la santé bucco-dentaire ? Vous êtes au bon endroit ! Découvrez nos articles les plus récents sur la prévention des problèmes dentaires. Une source d'informations vérifiée par nos dentistes partenaires.





























