Envoi du formulaire en cours. Veuillez ne pas fermer cette page.
noémie
Noémie

Votre conseillère est à votre écoute pour vous accompagner dans votre projet de soins dentaires.

Besoin d’un devis gratuit ?

Notre équipe d’experts vous apporte conseils et informations fiables sur les soins dentaires.

    Veuillez taper votre nom.
    Veuillez taper votre prénom.
    Veuillez taper une adresse email valide.
    Veuillez taper un numéro de téléphone valide.
    Veuillez renseigner votre message.
    Veuillez accepter cette condition.
    Veuillez accepter cette condition.

    Connexion SSL certifiée : en cliquant sur "Envoyer" vous acceptez de recevoir des informations par e-mail de la part de Smile Partner.

    *Champs obligatoires

    Ce qu'il faut retenir

    • Le déchaussement dentaire n’est pas toujours douloureux au début, mais peut cacher une maladie parodontale.

    • Le principal risque est la perte osseuse, qui peut entraîner une dent mobile et, dans les cas graves, une perte de dent.

    • Une dent qui bouge ne tombe pas forcément, mais c’est un signal d’alerte important.

    • Plus le déchaussement est pris en charge tôt, plus il est possible de stabiliser la situation.

    • Une bonne hygiène bucco-dentaire et un suivi régulier sont essentiels pour éviter l’aggravation.

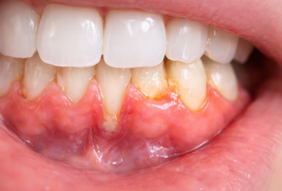
    Le déchaussement des dents est-il dangereux ?

    Le déchaussement des dents n’est pas toujours douloureux, ce qui peut donner l’impression qu’il s’agit d’un problème mineur. Pourtant, une récession gingivale peut cacher une maladie parodontale.

    Au départ, on remarque que la dent paraît un peu plus longue. La gencive remonte légèrement, mais la dent ne bouge pas encore.

    Mais si le déchaussement est lié à une infection des gencives, la situation s’aggrave. Les bactéries attaquent les tissus qui maintiennent la dent en place. Petit à petit, l’os qui soutient la dent diminue.

    Et c’est là que le vrai danger commence : quand l’os se fragilise, la dent perd sa stabilité.

    Quels sont les risques du déchaussement des dents ?

    Le déchaussement dentaire peut évoluer lentement mais entraîner des complications sérieuses. Voici les principaux risques à connaître.

    Sensibilité et douleurs

    Lorsque la gencive se rétracte, la racine de la dent devient exposée. Or, cette partie n’est pas protégée par l’émail. Résultat : sensibilité au chaud et au froid, douleur lors de la mastication et gêne au contact d’aliments sucrés ou acides.

    Mobilité progressive

    La dent perd progressivement son ancrage naturel. Ça commence par une légère sensation de dent qui bouge, puis se dégrade en mobilité visible, déplacement des dents et des espaces apparaissent entre les dents.

    Perte osseuse irréversible

    Le risque le plus sérieux est la destruction de l’os alvéolaire. La perte osseuse est irréversible. Plus l’os disparaît, plus la dent perd sa stabilité.

    Infection et abcès parodontal

    Une maladie parodontale évoluée peut entraîner la formation de poches parodontales profondes où les bactéries prolifèrent.

    Perte définitive de la dent

    Dans les cas sévères, on constate une mobilité importante et une perte quasi totale de l’os de soutien, ce mènent à l'extraction de la dent.

    Impact esthétique et psychologique

    Le déchaussement peut modifier l’apparence du sourire : dents qui paraissent plus longues, espaces visibles et asymétrie gingivale.

    Difficultés de mastication

    Une dent mobile ou douloureuse peut rendre la mastication difficile. À long terme, plusieurs dents atteintes peuvent perturber l’équilibre global de la bouche.

    Risque pour la santé générale

    Une inflammation liée à une parodontite sévère est associée à des risques accrus de diabète mal équilibré, maladies cardiovasculaires et complications pendant la grossesse

    .

    Vous avez des questions et vous souhaitez des réponses dès maintenant ?

    Contactez nos conseillers en France, au 02 41 48 44 09, ils vous répondent du lundi au vendredi de 09h à 18h.

    Charles au téléphone avec un patient

    À partir de quel stade le déchaussement devient-il grave ?

    Le déchaussement des dents n’évolue pas du jour au lendemain. Il progresse généralement par étapes, ce qu'on appelle les stades de la parodontite. Comprendre ces stades permet de savoir quand il faut vraiment s’inquiéter.

    • Stade léger
    • Stade modéré
    • Stade sévère

    Au début, la gencive remonte légèrement.

    On peut observer :

    • Une dent qui paraît un peu plus longue

    • Une sensibilité au chaud ou au froid

    • Une petite gêne au brossage

    → À ce stade, la dent est encore bien stable.
    Le problème est souvent réversible ou peut être stoppé facilement si l’on consulte rapidement.

    Si rien n’est fait, l’inflammation peut progresser. Les tissus qui maintiennent la dent commencent à s’affaiblir.

    On peut alors remarquer :

    • Une dent qui bouge légèrement

    • Des espaces qui apparaissent entre les dents

    • Des saignements plus fréquents

    → À ce stade, la situation devient plus sérieuse.
    L’os qui soutient la dent peut commencer à diminuer. Plus on attend, plus la stabilisation sera difficile.

    Dans les cas avancés, le déchaussement devient grave.

    Les signes sont plus visibles :

    • Dent très mobile

    • Douleur ou infection

    • Gencive très rétractée

    → L’os qui maintient la dent est fortement touché.
    Le risque de perdre la dent devient alors élevé.

    Est-il possible de sauver une dent qui se déchausse ?

    La réponse est oui… mais pas dans tous les cas.

    Tout dépend du stade du déchaussement et surtout de l’état de l’os qui maintient la dent en place.

    Oui, si le problème est pris à temps

    Si le déchaussement est détecté tôt, il est souvent possible de stabiliser la dent.

    Le dentiste peut proposer :

    • Un traitement de la parodontite si une infection est présente

    • Un détartrage en profondeur (appelé surfaçage radiculaire) pour éliminer les bactéries sous la gencive

    • Un suivi régulier pour éviter que la situation ne s’aggrave

    Dans ces cas-là, la dent peut rester stable pendant de nombreuses années.

    Plus la prise en charge est rapide, plus les chances de sauver une dent qui se déchausse sont élevées.

    Attention : la gencive ne repousse pas toute seule

    Contrairement à une idée reçue, la gencive ne repousse pas naturellement une fois qu’elle s’est rétractée. On peut stopper l’évolution du déchaussement dentaire, mais on ne peut pas faire “revenir” la gencive sans intervention. Dans certains cas, une greffe de gencive peut être proposée pour recouvrir la racine exposée et protéger la dent.

    Quand est-ce trop tard ?

    Si la perte osseuse est très avancée, la dent peut devenir trop mobile. Lorsque l’os qui soutient la dent a presque disparu :

    • la stabilisation devient difficile

    • le risque de perte de dent est élevé

    Dans ces situations, le dentiste évalue si la dent peut être conservée ou s’il vaut mieux envisager une autre solution (implant, bridge, etc.).

    Une dent qui bouge va-t-elle forcément tomber ?

    Non, une dent qui bouge ne va pas forcément tomber.

    Mais cela dépend du degré de mobilité.

    Mobilité légère : la dent peut être sauvée

    Il arrive qu’une dent bouge légèrement, surtout en cas d’inflammation des gencives.

    Dans ce cas :

    • la dent reste bien en place

    • la mobilité est faible

    • il n’y a pas forcément une grande perte d’os

    → Avec un traitement adapté et une bonne hygiène, il est souvent possible de stabiliser la dent.

    Mobilité modérée : il faut agir rapidement

    Si la dent bouge davantage, cela signifie que les tissus de soutien sont plus fragilisés.

    On peut observer :

    • une gêne à la mastication

    • un déplacement progressif de la dent

    • des espaces qui apparaissent

    → À ce stade, un traitement parodontal est indispensable pour éviter l’aggravation.

    Mobilité importante : risque élevé de perte

    Quand une dent est très mobile, cela signifie que l’os qui la maintient est fortement diminué.

    Dans ces cas-là :

    • la dent peut devenir douloureuse

    • elle peut gêner pour manger

    • le risque de chute ou d’extraction est plus élevé

    → Plus la mobilité est avancée, plus le pronostic est réservé.

    Peut-on éviter l’aggravation du déchaussement des dents ?

    Pour éviter que la situation ne s’aggrave, voici les actions à suivre :

      1 Consulter rapidement un dentiste 4 Nettoyer entre les dents
      2 Faire un détartrage si nécessaire 5 Arrêter le tabac
      3 Adopter une hygiène douce mais efficace 6 Mettre en place un suivi régulier
    • Ces étapes permettent de réduire l’inflammation, d’éliminer les bactéries responsables et de préserver les tissus qui maintiennent la dent en place.

    Plus la prise en charge est précoce, plus il est possible de stabiliser la situation et d’éviter une perte de dent.

    Des questions ? Besoin de conseil ?

    Nos conseillers sont à votre écoute pour vous guider dans la réalisation de votre projet.

    Quand faut-il consulter en urgence ?

    Un déchaussement des dents ne nécessite pas toujours une urgence immédiate. En revanche, certains signes doivent vous pousser à consulter rapidement un dentiste.

    Voici les situations qui ne doivent pas être ignorées :

    • Saignements fréquents des gencives, même sans brossage

    • Dent qui devient mobile ou sensation qu’elle bouge davantage

    • Douleur persistante, surtout en mastiquant

    • Gencive gonflée, rouge ou douloureuse

    • Présence d’un abcès (gonflement avec douleur ou écoulement)

    • Mauvaise haleine chronique malgré un brossage régulier

     

     

    Pourquoi ne faut-il pas attendre ?

    Lorsque ces symptômes apparaissent, cela peut indiquer :

    • une infection active

    • une inflammation importante

    • une perte osseuse en cours

    Plus on attend, plus la destruction des tissus de soutien progresse.
    Et plus il devient difficile de sauver la dent.

    En cas de doute, consultez !

    Un simple contrôle permet souvent de :

    • rassurer

    • détecter un problème à temps

    • éviter des traitements plus lourds par la suite

    En matière de déchaussement des dents, la rapidité d’action fait toute la différence.

    Découvrez nos
    4 cliniques partenaires

    Grâce à notre sélection de cliniques partenaires nous rendons accessibles des soins dentaires de qualité tout en garantissant une communication fluide.

    En savoir plus sur cette clinique
    clinique dentaire el cedro tenerife

    Clinique EL CEDRO

    Tenerife
    Espagne
    En savoir plus sur cette clinique
    Dr Leticia Rodriguez clinique EL Cedro Barcelone

    Clinique EL CEDRO

    Barcelone
    Espagne
    En savoir plus sur cette clinique
    clinique kiralydent en hongrie

    Clinique KIRALYDENT

    Budapest
    Hongrie
    En savoir plus sur cette clinique
    clinique dentaire mercz dental

    Clinique MERCZ DENTAL

    Budapest
    Hongrie

    Questions fréquentes

    Est-il possible de sauver une dent qui se déchausse ?

    Oui, dans beaucoup de cas, il est possible de sauver une dent qui se déchausse, surtout si le problème est pris à temps.
    Un traitement adapté permet de stopper l’inflammation et de stabiliser la dent.

    En revanche, si la perte osseuse est très avancée, la dent peut devenir trop mobile pour être conservée. Plus la prise en charge est précoce, meilleures sont les chances de la sauver.

    Est-ce qu’une dent qui bouge va forcément tomber ?

    Non, une dent qui bouge ne tombe pas forcément.

    Une mobilité légère peut être stabilisée avec un traitement adapté.
    En revanche, si la dent est très mobile et que l’os est fortement touché, le risque de perte est plus élevé.

    Une dent qui bouge est un signal d’alerte, pas une condamnation automatique.

    Le déchaussement des dents est-il irréversible ?

    La gencive qui s’est rétractée ne repousse pas naturellement.
    En ce sens, la récession gingivale est généralement irréversible.

    Cependant, il est possible de stopper l’évolution du déchaussement et d’éviter qu’il ne s’aggrave.
    Dans certains cas, une greffe de gencive peut être proposée pour recouvrir la racine exposée.

    Combien de temps avant qu’une dent tombe ?

    Le déchaussement peut évoluer très lentement sur plusieurs années, ou s’aggraver plus rapidement en cas d’infection active ou de parodontite sévère.

    Tout dépend :

    • du niveau de perte osseuse

    • de l’hygiène bucco-dentaire

    • du suivi professionnel

    Une prise en charge rapide peut éviter la perte de dent, même après plusieurs années d’évolution.

    Peut-on vivre longtemps avec des dents déchaussées ?

    Oui, si le déchaussement est léger et stabilisé, il est possible de vivre longtemps avec.

    En revanche, s’il continue à évoluer sans traitement, il peut entraîner une mobilité dentaire, des infections et une perte de dents.

    Un suivi régulier permet souvent de conserver ses dents malgré un début de déchaussement.

    Le déchaussement des dents est-il plus grave en haut ou en bas ?

    Le déchaussement peut toucher les dents du haut comme celles du bas.
    La gravité ne dépend pas de la position, mais :

    • du niveau de perte osseuse

    • de la mobilité de la dent

    • de la présence d’une infection

    Cependant, certaines zones (comme les dents du bas à l’avant) sont plus souvent touchées en raison de leur finesse et de leur exposition au tartre.

    Envie d’en savoir plus ?

    Rédactrice web chez Smile Partner
    Article rédigé par : Solyne PROUST, Rédactrice web pour Smile Partner

    Solyne est rédactrice web pour l’agence Smile Partner. Dotée d’une forte appétence pour la lecture et l’écriture, elle aime apprendre quotidiennement et développer ses connaissances en matière de soins dentaires auprès de nos dentistes partenaires.

    Dr Edvin SARIG
    Article vérifié par : Dr Edvin SÁRIG Chirurgien-dentiste à la clinique KIRALYDENT

    Dr Edvin SÁRIG est chirurgien-dentiste au sein de la clinique KIRALYDENT. Docteur en chirurgie depuis 2015, il est spécialisé en dentisterie esthétique et est inscrit à l’Ordre des Médecins Hongrois. La qualité des interventions auprès de ses patients est sa priorité.

    On ne se quitte plus

    Retrouvez-nous sur les réseaux sociaux.